See Explanation
[]
Orthopedics
miscellaneous
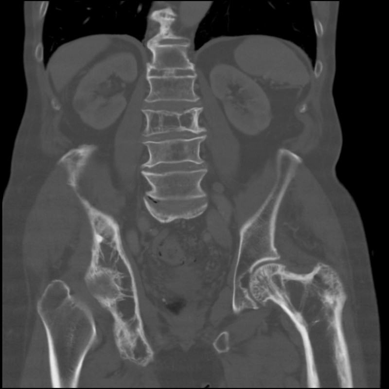
paget disease of bone
A 72-year-old man presents for a routine follow-up in his general practitioner's office regarding his type 2 diabetes and hypertension management. He reports feeling generally well, with no specific complaints of bone pain, fractures, or changes in his hat size. His past medical history includes well-controlled type 2 diabetes mellitus, essential hypertension, and obesity. He denies any recent falls or trauma.During the visit, his vital signs are stable: temperature 36.80C, blood pressure 130/80 mmHg, pulse 70/min, respirations 16/min, and oxygen saturation 98% on room air. Physical examination is unremarkable, with no bony tenderness or deformities noted. Routine laboratory tests ordered during his visit reveal several abnormal findings.Given the patient's presentation and laboratory findings, what is the most likely diagnosis and the initial management strategy?
| Lab Parameter | Value | Reference Range |
|---|---|---|
| Hemoglobin | 110 g/L | 130-170 g/L |
| Hematocrit | 0.33 | 0.39-0.50 |
| Leukocyte count | 8.5 x 10^9/L | 4.0-11.0 x 10^9/L |
| Platelet count | 197 x 10^9/L | 150-450 x 10^9/L |
| Serum Sodium | 139 mmol/L | 135-145 mmol/L |
| Serum Chloride | 100 mmol/L | 98-107 mmol/L |
| Serum Potassium | 4.3 mmol/L | 3.5-5.1 mmol/L |
| Bicarbonate | 25 mmol/L | 22-29 mmol/L |
| Blood Urea Nitrogen (BUN) | 7.14 mmol/L | 2.5-7.1 mmol/L |
| Serum Glucose | 5.5 mmol/L | 3.9-6.1 mmol/L |
| Serum Creatinine | 97.2 µmol/L | 62-106 µmol/L |
| Serum Calcium | 2.62 mmol/L | 2.10-2.55 mmol/L |
| Alkaline Phosphatase | 733 U/L | 40-129 U/L |
| Gamma-Glutamyl Transferase (GGT) | 20 U/L | < 40 U/L |
| Aspartate Aminotransferase (AST) | 22 U/L | 10-40 U/L |
| Alanine Aminotransferase (ALT) | 20 U/L | 7-56 U/L |
| Parathyroid Hormone (PTH) | 3.5 pmol/L | 1.6-6.9 pmol/L |
| Serum Phosphate | 1.0 mmol/L | 0.81-1.45 mmol/L |
Edit question



